Feste dritte Zähne an einem Tag (All-on-4®)
Wackelnde Zahnprothesen müssen nicht sein!
Viele Menschen mit jahrelangen, belastenden Zahnproblemen sowie Patienten mit großer Zahnarztangst wünschen sich sehnlichst, wieder einmal unbeschwert lachen, kauen und sprechen zu können.
Nicht selten sitzen herkömmliche Prothesen schlecht oder wackelig – gerade bei Patienten mit nur wenigen Restzähnen oder gar keinen eigenen Zähnen mehr.
Zusätzlich kann die geschlossene Gaumenplatte einer Oberkiefer-Prothese einen Würgereiz oder Übelkeit auslösen und somit zu einer erheblichen Beeinträchtigung der Lebensqualität führen.

Die hochmoderne und in vielen wissenschaftlichen Studien dokumentierte Implantattechnik All-on-4®, wurde von dem weltweit bekannten Implantologen Professor Dr. Paulo Maló bereits Ende der neunziger Jahre entwickelt.
Dabei werden alle Zähne eines Kiefers in Form einer festen und stabilen Brücke auf nur vier Implantat-Schrauben verankert.
Die hinteren zwei der vier Zahnimplantate werden bei diesem Verfahren schräg in den Kieferknochen eingesetzt. Dadurch wird die maximale Abstützung der Zähne garantiert. Dies bietet eine überaus große Sicherheit für die neue festsitzende Zahnbrücke.
Durch die reduzierte Anzahl der Implantate wird die neue Zahnersatzversorgung kostengünstiger. Gleichzeitig kann durch dieses Vorgehen ein langwieriger und oft teurer Knochenaufbau umgangen sowie empfindliche anatomische Strukturen (Nerven, Kieferhöhlen) geschont werden.
Der Mann hinter All-on-4®
Prof. Dr. Paulo Maló hat die Implantologie weltweit verändert – und 2018 war er persönlich zu Gast in der Zahnarztpraxis Dr. Baader in Mindelheim.
In diesem Video erzählt Maló selbst, wie aus einer klinischen Notwendigkeit eines der einflussreichsten Behandlungskonzepte der modernen Zahnmedizin wurde:
von der ersten Idee über die Skepsis in der Fachwelt bis zum weltweiten Durchbruch.
Schauen Sie rein – und erfahren Sie hier, was der Besuch des Erfinders für unsere Praxis bedeutet hat.
Ober- und Unterkiefer in einer Sitzung
Beinahe alle Patienten, die in unserer Praxis nach dem All-on-4® Konzept nach Prof. Dr. Paulo Maló behandelt werden, verbindet ein großer jahrelanger Leidensdruck. Besteht eine Behandlungsnotwendigkeit in beiden Kiefern, werden Ober- und Unterkiefer gleichzeitig in einer OP-Sitzung im Tiefschlaf (ITN) behandelt und versorgt. Noch am selben Nachmittag werden die neuen Zahnbrücken auf den Implantaten verankert und der Patient ist bereits am Abend in der Lage, mit seinen neuen, schönen und festen Zähnen zu kauen und alle beliebigen weichen Lebensmittel zu genießen.
Das All-on-4® Behandlungskonzept ermöglicht es, unseren Patienten in kürzester Zeit ein außerordentlich großes Stück Lebensqualität, Wohlbefinden und Lebensfreude zurückzubringen.
In nur wenigen Sitzungen erhalten Sie Ihr strahlendes Lächeln zurück
Haben Sie sich an Ihre neuen Zähne erst einmal gewöhnt, werden Sie sich fragen, warum Sie diese Entscheidung nicht schon lange vorher getroffen haben. Verlieren Sie keine Zeit und vereinbaren Sie schon jetzt einen unverbindlichen Beratungstermin.
Wir freuen uns auf Sie!
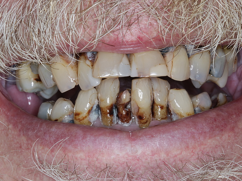
Aktuelle Fallstudie
Der im Folgenden gezeigte männliche Patient (63 Jahre alt) mit stark parodontal geschädigter, nicht erhaltungswürdiger Restbezahnung konnte mittels des All-on-4-Konzepts (Nobel Biocare) mit festsitzenden Restaurationen versorgt werden.
Mit 18 Jahren verlor Regina bei einem Autounfall alle Frontzähne. Mit 40 Jahren hat sie ihr Lächeln endlich wiedergefunden.
Im Video erzählt Regina, wie das All-on-4® Behandlungskonzept ihr Leben komplett verändert hat.
Erfahren Sie mehr über All-on-4® unter:
https://www.nobelbiocare.com/de-de/all-on-4-excellence-center
Feste Zähne an einem Tag (All-on-4® Implantattechnik)
Ein zufriedener und glücklicher Patient erzählt, dass er auf Empfehlung und Drängen seines Schwiegersohnes bei uns vorstellig wurde.
Der Schwiegervater sollte ohne Rechercheaufwand und ohne Umwege die beste Behandlung für seine Zahnprobleme erhalten.
Der Patient war nach seinem Kennenlerngespräch sowohl von Herrn Dr. Baader M.Sc. M.Sc als auch von dem All-on-4® Behandlungskonzept überzeugt.
Kommen Sie vorbei und überzeugen Sie sich selbst.
Zu den Informationsveranstaltungen:
https://www.drbaader.de/informationsveranstaltungen-fuer-patienten/
Weitere Patienten-Bewertungen:
https://www.jameda.de/helmut-baader-msc-msc/zahnarzt/mindelheim
Patientenbericht All-on-4® in Mindelheim
Seit vielen Jahren litt Frau Müller unter Zahnlücken und einem instabilen Gebiss. Als Angstpatientin war der Gang zum Zahnarzt für sie stets mit Ängsten und Unsicherheiten verbunden. Heute strahlt Frau Müller mit ihrem neuen Lächeln um die Wette. Ihr Selbstbewusstsein hat sich enorm gesteigert, und sie geht nun regelmäßig zu Dr. Baader in Mindelheim, um ihre Zähne professionell pflegen zu lassen. Die All-on-4 Behandlung hat nicht nur ihre Zahngesundheit wiederhergestellt, sondern auch ihr Leben positiv verändert.
Überzeugen Sie sich selbst - All-on-4® Patientenfälle








































Soforthilfe - Rufen Sie jetzt an
08261 / 1727
All-on-4® - Voraussetzungen
Große Zahnprobleme
Sind Sie im entsprechenden Kiefer entweder zahnlos oder es besteht die Indikation zur Entfernung aller Zähne?
Dann ist das All-on-4® Konzept eine wunderbare Methode, um Sie mit festen, implantatgetragenen Brücken zu versorgen.Guter allgemein medizinischer Zustand
Wir möchten, dass Ihr All-on-4® Behandlungstag für Sie möglichst angenehm verläuft. Daher führen wir die Behandlung überwiegend in Vollnarkose durch. Unser Anästhesist Herr Dr. Peter Blosch, mit dem wir seit über 20 Jahren routiniert zusammenarbeiten, untersucht und berät Sie gerne.
Nachsorge und Prophylaxe
Selbstverständlich werden Sie von uns genau informiert, wie Sie Ihre neue(n) Brücke(n) zuhause pflegen sollen. Dennoch ist es wichtig, dass Sie bereit sind, etwa zwei- bis dreimal im Jahr zu uns kommen. In diesem Termin wird alles kontrolliert, ihr fest verschraubter Zahnersatz abgenommen und eine professionelle Implantatreinigung sowie Aufbereitung und Politur Ihrer Brücke(n) vorgenommen.

All-on-4® - Neues Lebensgefühl an einem Tag
Am Tag der OP
Eintreffen in der Praxis
Vorbereitung, Narkoseeinleitung und Beginn bzw. Durchführung OP
Ausleitung der Narkose, Aufwachen
Bis ca. 17:00 Uhr im Ruheraum (Fernsehen, Ausruhen, Lesen, bereits leichte Kost...)
Anpassen und Einsetzen Ihrer neuen Zähne
Bereits auf dem Heimweg (in Begleitung)
Schon am gleichen Abend: Erstes vorsichtiges Kauen bzw. Essen mit festen Zähnen

Nach der erfolgreichen OP
Nach dem erfolgreichen Eingriff können Schwellungen, Blaufärbungen oder empfindliche Schleimhautstellen auftreten, die nach etwa vier bis fünf Tagen wieder abklingen. Schonen Sie sich in den ersten Tagen nach der OP besonders sorgfältig, um den Heilungsprozess zu fördern. Nach etwa 10 – 14 Tagen verspüren Sie kaum noch Beeinträchtigungen (Hämatom, Schwellung, empfindliche Schleimhautstellen etc.). Zu diesem Zeitpunkt entfernen wir die Nähte und kontrollieren Ihren Zahnersatz.
Weitere Kontrollen der Implantate und der Zahnfleischsituation sind im wöchentlichen Abstand für die nächsten vier Wochen sinnvoll. Nach etwa 12 Wochen arbeiten wir das individuell angefertigte Stabilisierungsgerüst aus Titan in die neue Brücke ein – fertig!

Vorsorge (Prophylaxe) ist besser als Nachsorge
Von nun an ist es für den Langzeiterhalt des neuen implantatgetragenen Zahnersatzes von entscheidender Bedeutung, dass Sie zwei- bis dreimal im Jahr zur Kontrolle in unserer Praxis erscheinen.
Dabei wird der Brückenzahnersatz abgeschraubt, damit eine zahnärztliche Kontrolle der Brücke und Implantate erfolgen kann. Zudem reinigt die Prophylaxe-Assistentin die Durchtrittstellen der Implantate mit speziellen Ultraschallinstrumenten äußerst sorgfältig. Nach etwa einer Stunde wird die in der Zwischenzeit vom Zahntechniker gesäuberte und polierte Brücke wieder auf den Implantaten fest verankert. Diese regelmäßige Maßnahme wird als „Professionelle Zahn- und Implantatreinigung (PZIR)“ bezeichnet. Damit sind Sie wieder bestens bis zum nächsten Prophylaxe-Termin „gerüstet“! Mit einer guten Mundhygiene und einer regelmäßigen PZIR, schützen Sie sich vor Entzündungen in der Mundhöhle und verlängern die Lebensdauer Ihrer Zahnimplantate. Eine digitale Röntgen-Kontrollaufnahme empfiehlt sich im Folgenden alle ein bis zwei Jahre.
















Das All-on-4® Behandlungskonzept - Broschüre
Wann haben Sie das letzte Mal in einen knackigen Apfel gebissen? Haben Sie Angst davor, vor anderen zu sprechen, weil Sie Probleme mit Ihren Zähnen haben? Tragen Sie eine Prothese, die eher hinderlich und unbequem ist, anstatt ein vollwertiger Ersatz zu sein?


































